The Best option for Dental Implant Courses in India?
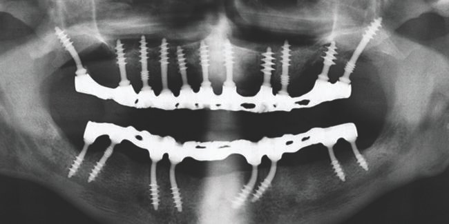
Sciences have always been given importance in India. And in recent years just like other sciences, developments in Basal Implantology are countless. People that choose dentistry as a career has also increased drastically. Numerous institutes offer Dental Implant Courses and provide practical Dental Implant Training in India one of the most recognizable names in this…










